Can A Ct Scan Show Breast Cancer - Best Scans To Detect Cancer Envision Radiology : After detecting the location of the tumor, the area will be biopsied for testing in the lab.
Dapatkan link
Facebook
X
Pinterest
Email
Aplikasi Lainnya
Can A Ct Scan Show Breast Cancer - Best Scans To Detect Cancer Envision Radiology : After detecting the location of the tumor, the area will be biopsied for testing in the lab.. Ct scans are inaccurate for treatment monitoring after cancer treatment, a ct scan is unable to determine whether masses leftover are cancerous: The area covered in the scanning can be determined. Bone scans, positron emission tomography (pet), and computed tomography (ct) all continue to be employed alone or in combination for the detection of breast cancers suspected to have spread. But the risk associated with these tests is worth the benefit, in most cases. A sentinel lymph node biopsy may first be performed to determine whether cancer has spread to the lymph glands under the arm.
The contrast helps to show up areas of increased vascularity and so it does help show up tumours as they have a rich blood supply. Ct scans are inaccurate for treatment monitoring after cancer treatment, a ct scan is unable to determine whether masses leftover are cancerous: Doctors often use this is for cancer staging. When a breast cancer has been diagnosed, some people have a ct scan of their chest and tummy (abdomen) to stage the breast cancer. The specialized cone beam breast ct (cbbct) scanner, developed by boone and colleagues, uses the same amount of radiation as a conventional mammogram.
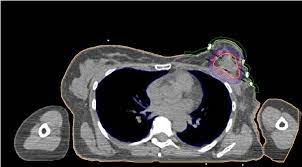
Patient With Breast Cancer And Bone Metastasis A Ct Scans At Baseline Download Scientific Diagram from www.researchgate.net The specialized cone beam breast ct (cbbct) scanner, developed by boone and colleagues, uses the same amount of radiation as a conventional mammogram. One example is a combined pet and ct scan (known as pet/ct), available in some centers. This is an excellent way to take a needle biopsy for inflammatory breast cancer because imaging can show the best place to take the biopsy. Right now, ct scans are not used routinely to evaluate the breast. All a ct scan will show is something different, for my wife they found something different in her lung and assumed it was lung cancer, turns out if was just some odd form of webbing/scar tissue and it was containing quite a lot of infection. A sentinel lymph node biopsy may first be performed to determine whether cancer has spread to the lymph glands under the arm. Mammograms take advantage of the fact that most of the female breast is fat tissue, so it's relatively transparent to the low doses of radiation used in mammography. It's an effective imaging test for finding cancer and learning its stage.
The equipment can be set to capture a larger area, as well, during a breast ct scan.
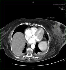
Knowing the stage helps your doctor decide which treatment you need. So far, researchers at the university have. Doctors often use this is for cancer staging. Mammography is currently the preferred examination for breast cancer screening; During a ct scan, you will be exposed to a small amount of radiation. The area covered in the scanning can be determined. The test has only a limited ability to detect small tumors. The cancer's stage describes the location of cancer, if it spread and if it's changing the function of your organs. A breast pet scan is often very specific and sensitive and is approved for patients. One example is a combined pet and ct scan (known as pet/ct), available in some centers. The specialized cone beam breast ct (cbbct) scanner, developed by boone and colleagues, uses the same amount of radiation as a conventional mammogram. Ct scans can show a tumor's shape, size, and location. The contrast helps to show up areas of increased vascularity and so it does help show up tumours as they have a rich blood supply.
It's an effective imaging test for finding cancer and learning its stage. If you have a large breast cancer, your doctor may order a ct scan to assess whether or not the cancer has moved into the chest wall. The test has only a limited ability to detect small tumors. Can a ct scan pick up breast cancer. Ct scans can show a tumor's shape, size, and location.
18 F Fdg Uptake Of Bone Marrow On Pet Ct For Predicting Distant Recurrence In Breast Cancer Patients After Surgical Resection Ejnmmi Research Full Text from media.springernature.com Can a ct scan pick up breast cancer. Pet scans are not used to screen women for breast cancer. The test has only a limited ability to detect small tumors. The cancer's stage describes the location of cancer, if it spread and if it's changing the function of your organs. Doctors often use this is for cancer staging. Ct scans can show a tumor's shape, size, and location. When a breast cancer has been diagnosed, some people have a ct scan of their chest and tummy (abdomen) to stage the breast cancer. Bone scans, positron emission tomography (pet), and computed tomography (ct) all continue to be employed alone or in combination for the detection of breast cancers suspected to have spread.
The specialized cone beam breast ct (cbbct) scanner, developed by boone and colleagues, uses the same amount of radiation as a conventional mammogram.
Doctors often use ct scans to help them guide a needle to remove a small piece of tissue. Some fear that the ionizing radiation emitted from ct scans can harm dna and cause tumors. A sentinel lymph node biopsy may first be performed to determine whether cancer has spread to the lymph glands under the arm. When a breast cancer has been diagnosed, some people have a ct scan of their chest and tummy (abdomen) to stage the breast cancer. This helps determine whether or not the cancer can be removed with mastectomy. Ct scans are inaccurate for treatment monitoring after cancer treatment, a ct scan is unable to determine whether masses leftover are cancerous: This can allow for examination of neighboring organs and structures like lymph nodes to check for any signs of disease. This is an excellent way to take a needle biopsy for inflammatory breast cancer because imaging can show the best place to take the biopsy. In some cases, physicians use all three imaging techniques. Bone scans, positron emission tomography (pet), and computed tomography (ct) all continue to be employed alone or in combination for the detection of breast cancers suspected to have spread. It's an effective imaging test for finding cancer and learning its stage. How do ct scans work? The contrast helps to show up areas of increased vascularity and so it does help show up tumours as they have a rich blood supply.
It can damage the dna in your cells and raise the chance that they'll turn cancerous. However, your doctor may call this a pet scan. Bone scans and ct scans are not routine tests for breast cancer and are only done if the cancer has a high risk of spreading. The contrast helps to show up areas of increased vascularity and so it does help show up tumours as they have a rich blood supply. A sentinel lymph node biopsy may first be performed to determine whether cancer has spread to the lymph glands under the arm.
Breast Mri Fact Sheet Westmead Bci from www.bci.org.au The ct scan might show signs of cancer, but that cancer might not be active for example, it could be scar tissue left over from cancer killed off by your treatment Once doctors know where to look, further evaluation can be done with other techniques. This test is most often used to look at the chest and/or belly (abdomen) to see if breast cancer has spread to other organs. The cancer's stage describes the location of cancer, if it spread and if it's changing the function of your organs. Breast pet scans are known as positron emission mammography (pem). The benefits of having a ct scan usually outweigh the risks. During a ct scan, you will be exposed to a small amount of radiation. When a breast cancer has been diagnosed, some people have a ct scan of their chest and tummy (abdomen) to stage the breast cancer.
Once doctors know where to look, further evaluation can be done with other techniques.
The benefits of having a ct scan usually outweigh the risks. If you have a large breast cancer, your doctor may order a ct scan to assess whether or not the cancer has moved into the chest wall. Doctors can combine pet scans with ct scans. By comparing ct scans done over time, doctors can see how a tumor is responding to treatment or find out if the cancer has come back after treatment. Sandy,i asked my onc.he says ct's can pick up breast cancer depending part on location.i guess it's like real estate,location,location,location,lol.but seriously theradiologist who read my lung ct in november wrote in his report specifically there was no evidence of breast cancer.i guess due to them watching a lymph gland for 2 years on my rt breast.it was fine in mammogram in october so i am now back to yearly,thank god,andib Then, this evening, after talking to mum about the scan appointment, i looked up great cancer and read about inflammatory breast cancer and that sure does fit the bill, perfectly. All a ct scan will show is something different, for my wife they found something different in her lung and assumed it was lung cancer, turns out if was just some odd form of webbing/scar tissue and it was containing quite a lot of infection. One example is a combined pet and ct scan (known as pet/ct), available in some centers. Bone scans, positron emission tomography (pet), and computed tomography (ct) all continue to be employed alone or in combination for the detection of breast cancers suspected to have spread. Can a ct scan pick up breast cancer. After detecting the location of the tumor, the area will be biopsied for testing in the lab. Ct scans can show a tumor's shape, size, and location. This is an excellent way to take a needle biopsy for inflammatory breast cancer because imaging can show the best place to take the biopsy.
How To Make A Love Letter Card - Personalised Reasons I Love You Card In 2021 Birthday Cards For Boyfriend Love Scrapbook Birthday Cards Diy - The first rule for a personal love letter is to make it personal and positive. . For example, begin by saying, i still remember clearly the moment when you walked into rob's party, wearing that stunning red dress. The first rule for a personal love letter is to make it personal and positive. How to make your mosaic love letters. I tried printing the word love and writing it in script. The journey you've been on is intensely personal, so make your love letter reflect this. Thus the best way to start a love letter is to refer to a shared memory; One card is removed from play. Your goal is to get your love letter into princess annette's hands while deflecting the letters from competing suitors. These are definitely something the recipient will. The first rule for a personal love letter is to make it personal and pos...
Kami yang bertanda tangan di bawah ini, saya mewakili orang tua murid dari : 2 smk nomor induk … Smk negeri 7 banjar kelas : Dalam penulisan surat izin sakit ke sekolah ada beberapa format yang bisa dilakukan. Salah satu pernyataan orang tua yang paling sering kita gunakan adalah untuk kepentingan siswa. 15 Contoh Surat Izin Tidak Masuk Kuliah Untuk Mahasiswa from mamikos.com Meski begitu surat resmi gak harus selalu disusun oleh keluarga, bisa juga disusun oleh individu. Dimana tentu saja, dari sisi penulisan dan bahasa … Kami yang bertanda tangan di bawah ini, saya mewakili orang tua murid dari : Smk negeri 7 banjar kelas : Klampok, 23 juli 1999 sekolah asal : Baik itu surat yang dipergunakan oleh perusahaan, instansi pemerintahan, lembaga, organisasi, dan perseorangan. Di bawah ini adalah contoh surat permohonan magang dari sekolah yang...
Christmas Cards For Preschoolers To Make : 3 DIY Christmas Cards for Kids/Handmade Christmas Greeting ... : * we can't have a preschool crafts and activities roundup without. . Pick the traditional cards but make sure to choose appropriate designs and colors. * preschoolers will love to make these christmas tree cards shared by messy little monsters. There are loads of christmas crafts for preschoolers to enjoy. Go over the examples and then have the students make their own example for each category. Does your preschool celebrate christmas? Grab our free template to make this cute christmas craft today. I can't believe christmas is just around the corner! Have you been searching for christmas activities for preschoolers on pinterest or google? * i'm totally in love with these christmas spoon crafts by messy little monsters. Here's a roundup of some great handmade christmas card ideas for kids to make. ...
Komentar
Posting Komentar